首页
为什么拍口腔全景拍出来是白色的
返回

为什么拍口腔全景拍出来是白色的

2023-11-02 综合百科 By:佚名
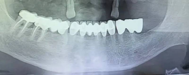
最佳答案在全景片显影中,骨骼、牙齿、补牙材料、牙冠这种组织属于高密度组织,在影像上呈现白色;像牙龈和牙髓这一类组织属于低密度组织,低厚度组织,会呈黑色或灰色。蛀牙在全景片显影上会出现黑色阴影的缺损,如果是邻面龋以及龋坏程度,通常需要到医院,医生用探针、口镜等进行确定。

在全景片显影中,骨骼、牙齿、补牙材料、牙冠这种组织属于高密度组织,在影像上呈现白色;像牙龈和牙髓这一类组织属于低密度组织,低厚度组织,会呈黑色或灰色。蛀牙在全景片显影上会出现黑色阴影的缺损,如果是邻面龋以及龋坏程度,通常需要到医院,医生用探针、口镜等进行确定。

猜你喜欢
新型MMPs抑制剂RECK在牙周炎组织降解中的调控机制研究(关于新型MMPs抑制剂RECK在牙周炎组织降解中的调控机制研究的简介)

新型MMPs抑制剂RECK在牙周炎组织降解中的调控机制研究(关于新型MMPs抑制剂RECK在牙周炎组织降解中的调控机制研究的简介)

01-01 0 阅读
机器猫哆啦A梦3(关于机器猫哆啦A梦3的简介)

机器猫哆啦A梦3(关于机器猫哆啦A梦3的简介)

12-31 0 阅读
明日之后榆树叶好卖吗

明日之后榆树叶好卖吗

03-15 0 阅读
宝墨园门票仅需9元抢票方式(宝墨园门票)

宝墨园门票仅需9元抢票方式(宝墨园门票)

03-10 0 阅读
领便当和领盒饭区别(领便当是什么意思)

领便当和领盒饭区别(领便当是什么意思)

01-03 0 阅读
漳州卫生职业学院贴吧论坛(漳州卫生职业学院贴吧)

漳州卫生职业学院贴吧论坛(漳州卫生职业学院贴吧)

01-02 0 阅读
热门推荐
新型MMPs抑制剂RECK在牙周炎组织降解中的调控机制研究(关于新型MMPs抑制剂RECK在牙周炎组织降解中的调控机制研究的简介)

新型MMPs抑制剂RECK在牙周炎组织降解中的调控机制研究(关于新型MMPs抑制剂RECK在牙周炎组织降解中的调控机制研究的简介)

01-01 0 阅读
机器猫哆啦A梦3(关于机器猫哆啦A梦3的简介)

机器猫哆啦A梦3(关于机器猫哆啦A梦3的简介)

12-31 0 阅读
明日之后榆树叶好卖吗

明日之后榆树叶好卖吗

03-15 0 阅读
宝墨园门票仅需9元抢票方式(宝墨园门票)

宝墨园门票仅需9元抢票方式(宝墨园门票)

03-10 0 阅读
领便当和领盒饭区别(领便当是什么意思)

领便当和领盒饭区别(领便当是什么意思)

01-03 0 阅读
漳州卫生职业学院贴吧论坛(漳州卫生职业学院贴吧)

漳州卫生职业学院贴吧论坛(漳州卫生职业学院贴吧)

01-02 0 阅读
4399我的世界助手(关于4399我的世界助手的基本详情介绍)

4399我的世界助手(关于4399我的世界助手的基本详情介绍)

01-01 0 阅读
银河牌摩托车(关于银河牌摩托车的基本详情介绍)

银河牌摩托车(关于银河牌摩托车的基本详情介绍)

01-01 0 阅读
云顶之弈11.6四明昼阵容玩法 装备推荐

云顶之弈11.6四明昼阵容玩法 装备推荐

12-31 0 阅读
数字推理(关于数字推理的基本详情介绍)

数字推理(关于数字推理的基本详情介绍)

12-31 0 阅读